曹济民教授团队在《Journal of Oncology》发文:白细胞介素-2受体γ亚单位的高表达提示人胃癌预后不良
我校细胞生理学教育部重点实验室曹济民团队青年教师王德平博士最新的研究成果题为《High Expression of Interleukin-2 Receptor Subunit Gamma Reveals Poor Prognosis in Human Gastric Cancer》(白细胞介素-2受体γ亚单位的高表达提示人胃癌预后不良)发表在中科院期刊分区3区期刊《Journal of Oncology》(影响因子:4.375)。

IL2RG的表达情况和生存率分析
A-C:IL2RG的表达情况;D-F:IL2RG生存率分析
该研究收集了7例肿瘤根治性切除手术患者(男5例,女2例)的胃癌组织和癌旁胃组织。前期通过研究这些组织转录组,发现了新的可能成为胃癌进展和不良预后的生物标记物IL2RG,并在后续研究中揭示白了细胞介素-2受体亚基(IL2RG)是人类胃癌进展的关键分子。
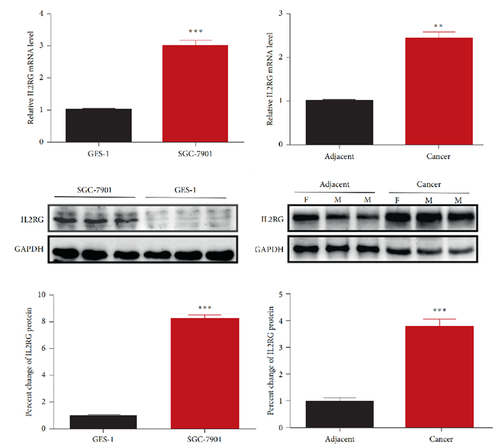
采用RT-qPCR和免疫印迹法比较胃癌组织与正常邻近正常组织以及胃癌细胞SGC-7901和正常胃上皮细胞GES-1之间IL2RG的mRNA和蛋白表达水平。结果显示,与邻近正常胃癌组织和正常GES-1细胞相比,胃癌组织和人胃癌SGC-7901细胞系中IL2RG的mRNA和蛋白水平均显著升高,且IL2RG表达的升高与较低的生存率相关。

Western blot和RT-qPCR显示IL2RG在胃组织和胃细胞系中的表达水平
另外对来自Gene Expression Omnibus (GEO)的GSE29272和GSE15459全基因组mRNA表达谱的分析证实,IL2RG在胃癌患者中高表达,并与较差的总生存率相关。此外,分子对接结果显示,一个小分子病毒(TAK242)可能是IL2RG的抑制剂。
最终得出结论:IL2RG在晚期胃癌中过表达,并与低生存率相关。IL2RG可作为胃癌进展和不良预后的生物标志物。该研究获得了2022年度国际“最佳研究者奖”(Best Researcher Award, ID Number: 6065, International Research Awards on Oncology and Cancer Research, ONCOLOGY 2022, Scifax)。
(图文/王玉兰)
